Retrazione Gengivale Rimedi Naturali
Gengive Ritirate E Recessione Gengivale Rimedi E Cura Connettis
Cosa E La Retrazione Gengivale E Come Trattarla It Odysseedubienetre Be
Retrazione Gengivale Cause E Rimedi Naturali Per Le Gengive Ritirate
Piorrea Brindisi Denti Che Si Muovono Recessione Gengivale Sacche Parodontale Cause E Rimedi Cura A Brindisi Dentista Brindisi
Recessione Gengivale Cura E Trattamento Faggian Clinic
Xgl81 Pqlycim
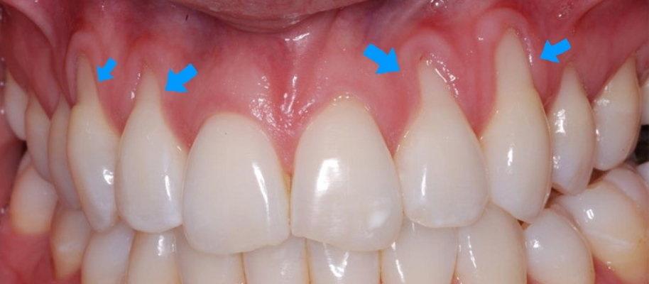
Così, i denti appaiono allungati e l’effetto estetico è un disastro.
Retrazione gengivale rimedi naturali. Rimedi naturali per stimolarne la crescita. Rimedi naturali e prevenzioni della retrazione. La retrazione gengivale, o recessione gengivale, si verifica quando la gengiva si sposta o si riduce, arretrando.Così, i denti appaiono allungati e l’effetto estetico è un disastro.
Il succo di aloe vera va preso 2 cucchiai 10 minuti prima dei pasti per 3 volte al giorno. Rimedi naturali che favoriscono la ricrescita gengivale. Vi basterà prendere della mirra in polvere (potete.
Potreste trovarvi di fronte ad una situazione di retrazione gengivale, ossia un arretramento della gengiva, che con le cure adeguate può essere prontamente risolto. Mercoledì 23 gennaio 08. E ‘anche il deterioramento dei tessuti attorno alla bocca lasciando le gengive gonfie e infiammate, e le radici dei denti sovraesposte.
Aloe Vera – E’ la pianta dei miracoli degli egizi ed è molto efficace nella recessione gengivale. Il problema è che le gengive ritirate fanno malissimo e si. By Anna Maria D.
La mirra arresterà la recessione gengivale e impedirà ulteriori danni. Il bordo gengivale che si abbassa, mettendo a nudo la radice sottostante, è senza dubbio uno dei disturbi della dentatura più fastidiosi:. Ci sono diversi rimedi naturali che madre natura ci mette a disposizione per combattere la retrazione gengivale favorendo la ricrescita delle gengive.
Cause E Rimedi Naturali Per Risolvere Il problema. La retrazione gengivale, o recessione gengivale, si verifica quando la gengiva si sposta o si riduce, arretrando. La tradizione dei rimedi naturali.
8 rimedi naturali che riparano recessione gengivale.Recessione gengivale o le gengive che si ritirano è la degenerazione del legamento parodontale che collega il dente alla presa. Trattandosi di un processo molto lento, che peggiora in modo graduale ma tutt’altro che veloce, sono diverse le persone che neppure si accorgono di avere a che fare con questo problema. Non solo è una minaccia per l’integrità della tenuta del dente, ma ha anche un notevole peso dal punto di.
Per prevenire le gengive ritirate di consigliamo di dare uno sguardo ai seguenti punti:. 31 Agosto 18 Rimedi naturali. Il problema è che le gengive ritirate fanno malissimo e si gonfiano, creando ulteriori disagi.
La retrazione gengivale, o recessione gengivale, si verifica quando la gengiva si sposta o si riduce, arretrando. Così, i denti appaiono allungati e l’effetto estetico è un disastro. Va usata sia per uso interno che per uso topico.
Ecco alcune cure naturali efficaci per la recessione gengivale. Il problema è che le gengive ritirate fanno malissimo e si.
Retrazione Gengivale Rimedi Naturali Per Stimolare La Ricrescita
Retrazione Gengivale Tutti I Rimedi Naturali Per Favorirne La Ricrescita
Cosa Fare In Caso Di Gengive Infiammate Precauzioni E Rimedi Blue Centers
Come Utilizzare Lo Spazzolino In Caso Di Recessione Gengivale Youtube
Retrazione Gengivale Rimedi Naturali Per Stimolare La Ricrescita Italy365 Youtube
Gengive Che Si Ritirano Cosa Rischiano I Denti E Perche Succede
Rimedi Naturali Che Stimolano La Crescita Gengivale Addio Retrazione Bacheca Benessere
Rimedi Contro La Gengivite Cannizzo Studio Dentistico Milano
Gengive Ritirate Rimedi E Cause
Come Prendersi Cura Delle Gengive La Nostra Guida Esclusiva Curaprox Shop Schweiz
Curare La Gengivite Dentista Implantologia Prezzi
Retrazione Gengivale Rimedi Naturali Per Stimolare La Ricrescita
Recessione Gengivale Cause Rimedi E Cure Per Le Gengive Che Si Ritirano
Cosa Sono E Come Combattere Le Gengive Ritirate Cause Sintomi E Rimedi
Retrazione Gengivale Rimedi Naturali Per Stimolare La Ricrescita
8 Rimedi Naturali Che Riparano Recessione Gengivale Incredibile Ma Vero
Recessioni Gengivali Recessione Gengivale Rimedi Odontobi
Colletti Dei Denti Scoperti Come Curarli
Gengive Ritirate Tomasicchio Centro Dentistico
Gengive Ritirate Rimedi Naturali Cause Sintomi Evoluzionecollettiva
Gengive Ritirate E Recessione Gengivale Rimedi E Cura Connettis
Colletti Dei Denti Scoperti Come Curarli
Parodontite Cure Laser Senza Interventi Chirurgici Dentista Resta
Gengivite Rimedi Naturali Igiene E Cure Per Le Gengive Infiammate
Gengive Ritirate Scopri Otto Semplici Rimedi Naturali Per Combattere Efficacemente La Retrazione Gengivale Tutorial E Co Health Dental Health Beauty Wellness
Cosa Provoca Il Mal Di Denti La Recessione Gengivale
Rimedi Naturali Che Stimolano La Crescita Gengivale Addio Retrazione Nel Rimedi Rimedi Naturali Rimedi Per La Salute
Ricostruzione Gengivale Intervento E Processi Di Ricostruzione
Rimedi Della Nonna Per Le Gengive Ritirate Rimedi Della Nonna
Retrazione Gengivale 8 Rimedi Che Stimolano La Crescita Rimedi Naturali Rimedi Trattamenti Naturali
Retrazione Gengivale Rimedi Naturali Per Stimolarne La Crescita Nel Rimedi Naturali Rimedi Salute Naturale
Retrazione Gengivale Rimedi Naturali Per Stimolare La Ricrescita
Gengive Ritirate Rimedi Naturali
Retrazione Gengivale Rimedi Naturali Per Stimolarne La Crescita Il Mondo Delle Donne
Gengive Che Si Ritirano Cause Sintomi E Rimedi Studio Santori
Rimedi Naturali Contro La Gengivite Dentista Implantologia Prezzi
Retrazione Gengivale Rimedi Naturali Per Stimolarne La Crescita Il Mondo Delle Donne
Gengive Ritirate Ricrescono Rimedi Naturali E Interventi Dentali
Gengive Ritirate Le Cure Studio Dentistico Lorello Padova
Rimedi Naturali Contro La Gengivite Impianti Zigomatici Prezzi
Retrazione Gengivale Rimedi Naturali Per Stimolarne La Crescita Il Mondo Delle Donne
Recessione Gengivale Perche E Necessario Preoccuparsene Clinica Del Benessere Dentale
Rimedi Naturali Contro La Recessione Gengivale Vivo Di Benessere
Recessione Gengivale Cure Sintomi Cause Rimedi Consigli Video
Rimedi Per Le Gengive Infiammate
Gengive Che Sanguinano Cause E Rimedi Che Funzionano Davvero Per Prevenirle Greenme
Rimedi Naturali Che Stimolano La Crescita Gengivale Addio Retrazione Bacheca Benessere
Benessere Bellezza Tanti Consigli Di Benessere E Alcubo
Colletto Dentale Scoperto Rimedi Contro Le Gengive Che Si Ritirano
Rimedi Per La Gengivite Come Eliminare L Infiammazione Freesmile
Gengive Ritirate Cosa Sono Cause E Rimedi Pazienti It
Come Far Ricrescere Le Gengive In Poco Tempo E In Modo Naturale Salute
Cause E Rimedi Naturali Per Parodontite Valdo Vaccaro
Recessione Gengivale Cure Sintomi Cause Rimedi Consigli Video
Gengive Ritirate E Sanguinanti Cause Cosa Fare E Ricrescita Greenstyle
Gengive Ritirate Le Cure Studio Dentistico Lorello Padova
Gengive Ritirate L Aloe Come Rimedio Naturale Greenious
Retrazione Gengivale Le Cause E I Rimedi Naturali Per Stimolarne La Crescita Meteoweb
Retrazione Gengivale Le Cause E I Rimedi Naturali Per Stimolarne La Crescita Meteoweb
Rimedi Naturali Ed Efficaci Per La Retroazione Gengivale Proiezioni Di Borsa
Come Stimolare La Ricrescita Delle Gengive Naturalmente
Gengive Ritirate Rimedi E Cause
Rimedi Naturali Che Stimolano La Crescita Gengivale Addio Retrazione Bacheca Benessere
Cosa Fare In Caso Di Gengive Infiammate Precauzioni E Rimedi Clinica Del Benessere Dentale
Gengive Ritirate Scopri Otto Semplici Rimedi Naturali Per Combattere Efficacemente La Retrazione Gengivale T Restorative Dentistry Health Health And Wellness
Il Laser Alle Gengive Mi Ha Rovinato Che Fare Odontoiatria Generale E Ortodonzia Forumsalute It
Gengive Che Si Ritirano Tutte Le Cause E Come Prevenire La Recessione Gengivale Greenme
Gengive Ritirate Rimedi Naturali Cause Sintomi Evoluzionecollettiva
Rimedi Naturali Contro La Retrazione Gengivale Favorirne La Crescita
La Parodontite Omeopatiaclinicaomeopatiaclinica
Gengive Ritirate Le Cure Studio Dentistico Lorello Padova
Retrazione Gengivale Rimedi Naturali Per Stimolarne La Crescita Il Mondo Delle Donne
Recessione Gengivale Cure Sintomi Cause Rimedi Consigli Video
Retrazione Gengivale Le Cause E I Rimedi Naturali Per Stimolarne La Crescita Meteoweb
Rimedi Naturali Per Trattare La Recessione Gengivale Surfsitesusa Com
Retrazione Gengivale 8 Rimedi Che Stimolano La Crescita Rimedi Naturali Rimedi Acqua Ossigenata
Gengive Ritirate E Recessione Gengivale Cause E Rimedi
Placca Dentale E Carie Rimedi Naturali Iswari
Gengive Ritirate O Recessione Gengivale Cause Sintomi E Rimedi Sanioggi It
Recessione Gengivale 8 Rimedi Naturali Per Arginarla Supereva
Gengive Ritirate Trattamento Recessione Gengivale C Youtube
Retrazione Gengivale Come Stimolare Naturalmente La Ricrescita Ilvegano It
Retrazione Gengivale Come Stimolare La Crescita Con Questi 8 Rimedi Naturali My Dental Family Studio Dentistico A Torino
Le Gengive Ritirate Sono Un Grosso Problema Ma Puoi Rimediare Con Questi Cibi Verde Azzurro Notizie
Parodontite O Piorrea Sintomi Cause Cura E Principali Rimedi Naturali
Retrazione Gengivale Come Stimolare La Crescita Con Questi 8 Rimedi Naturali Il Sapere
Retrazionegengivale Rimedinaturali Evoluzionecollettiva Natural Care Health Oral Care
Parodontite Sintomi Cause Come Curarla I Starbene
Recessione Gengivale Come Si Previene E Si Cura Clinica Villa
Recessione Gengivale Studi Cause E Rimedi Naturali Rimedi Naturali Rimedi Salute Naturale
Gengive Ritirate Ricrescono Rimedi Naturali E Interventi Dentali
Le Gengive Si Ritirano Ecco I Rimedi Naturali Ecoseven
Recessione Gengivale Cause Rimedi Albanesi It
Rimedi Della Nonna Per Le Gengive Ritirate Rimedi Della Nonna


